松かさ病についての新しい研究
観賞魚として人気のキンギョがその美しさを維持するためには、健康管理が欠かせません。しかし、飼育中に発症する病気は少なくなく、特に松かさ病は多くの飼育者を悩ませる病気の一つです。この度、ジェックス株式会社と東海大学の共同研究によって松かさ病の原因菌と病理組織の最新研究結果が発表され、多くの関心を集めています。
 松かさ病の概要
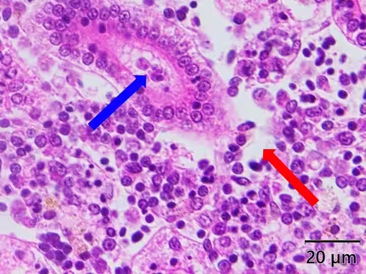
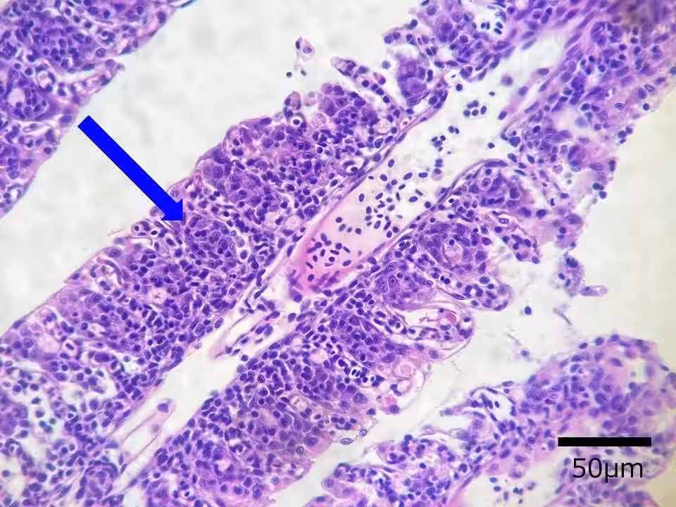
松かさ病は、キンギョの鱗が開いて松ぼっくりのような形になることから名付けられました。発症すると、キンギョは衰弱し、治癒が難しくなるため、飼い主にとっては非常に困難な状況を引き起こします。具体的には、鱗嚢に水分がたまり、浮腫状態になり、その結果、腎臓や卵巣、鰓でも異常が確認されています。
 研究の背景
本研究は、観賞魚市場が小さいために松かさ病に関する研究が限られていた現状を打破することを目的に行われました。従来の教科書では、運動性エロモナス属菌の一種である
Aeromonas hydrophilaが疑われていますが、今回の研究では、従来想定されていた原因菌が確認できなかったケースもありました。このことから、研究の重要性が再確認されました。
 研究方法
奈良県のキンギョ養魚場から、松かさ病が確認された個体をサンプリング。麻酔による処置を行った後、解剖して各組織の調査を実施しました。筋肉や腎臓、腹腔内の液体から細菌を分離し、最新の解析技術「16SrRNAシーケンス」により、菌種の特定が行われました。同時に、組織切片を作成し、顕微鏡での観察も行いました。
 研究結果
研究の結果、松かさ病を発症したキンギョの大半から、
Aeromonas veroniiが確認されましたが、個体によって細菌の遺伝子に変異が見られることも明らかになりました。さらに、鱗の基底部の浮腫や腎臓の異常、卵巣や鰓でも異常が観察されました。これにより、さらなる詳細な分類を必要とする可能性も示唆されました。
 発表の意義
今回の研究成果は、令和7年度日本水産学会秋季大会で発表され、今後の研究活動に大きな影響を与えるでしょう。ジェックス株式会社はこの研究を通じて、松かさ病を含む様々な魚病の原因を解明し、予防や治療に役立つ商品開発に取り組む意向です。
 今後の展望
今後も松かさ病の発症個体を定期的にサンプリングし、外部要因が病状に与える影響を調べる予定です。それにより、飼い主が愛魚を病気から守るための有効な対策が講じられることが期待されます。これからも、ジェックス株式会社の取り組みに注目が集まります。
――――――――――――――――――――
この研究は、キンギョだけでなく、他の観賞魚の健康にも繋がる大きな一歩となるでしょう。松かさ病についての理解が深まり、未来の研究成果にも期待が寄せられます。
 
 
 
 
 
